Hàn răng có đắt không?
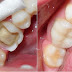
Hàn răng có đắt không ? Hàn răng sâu là phương pháp nha khoa thẩm mỹ giúp hạn chế được tình trạng răng sâu lan rộng và đảm bảo tính thẩm mỹ ...
Hàn răng có đắt không ? Hàn răng sâu là phương pháp nha khoa thẩm mỹ giúp hạn chế được tình trạng răng sâu lan rộng và đảm bảo tính thẩm mỹ ...
Hàn răng sâu hết bao nhiêu tiền ? Hàn răng sâu là giải pháp thẩm mỹ phổ biến hiện nay, đối với những người vừa thực hiện điều trị bệnh lý ...